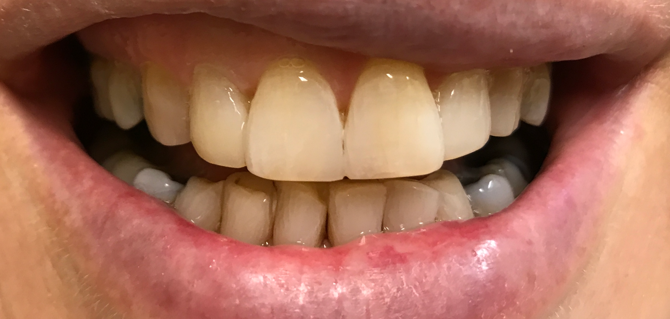
Welcome to our before and after cosmetic smile gallery! Here you can view the results of our good work and see how Dr. Jacqueline S. Reid has helped our patients have beautiful, healthy smiles. Browse through our photos and call our office at 973-635-9456 to learn more about our services for dental care in Chatham, New Jersey, and schedule a visit with our dentist.
Our Patients Say It Best





